فلسطين اليوم
فلسطين 48
الشتات
المحافظات
العالم اليوم
ملتيميديا
فيديو
صورة وحكاية
عين على الحدث
بودكاست
تقارير خاصة
برامج الإذاعة
اتصل بنا
راية اف ام
راية مكس
راية تي في
البث المباشر
الطقس
Loading...
أوقات الصلاة
الفجر
5:08 AM
الظهر
11:53 AM
العصر
2:52 PM
المغرب
5:20 PM
العشاء
6:37 PM
العملات
Loading...
ترددات البث
جنوب فلسطين
FM 96.8
أريحا و الأغوار
FM 96.8
وسط فلسطين
FM 98.3
جنين و الخليل
FM 98.3
شمال فلسطين
FM 96.4
بودكاست
شبكة راية الإعلامية
الأخبار
منوعات
دعاء ليلة النصف من شعبان 2026 - ردد هذه الكلمات لاغتنام "ليلة الغفران"
فيلم ميلانيا ترامب يتجاوز التوقعات في شباك التذاكر
تأخر رحلة سفر بسبب "رقصة" على سطح الطائرة
ماذا يحدث في ليلة النصف من شعبان؟ عجائب تفصيلية وأدعية مستجابة
آخر المستجدات
اليوم
05:11 PM
الاتحاد العام للنقابات: البطالة بلغت 38% وخسائر العمال 9 مليارات دولار خلال عامين من الحرب
اليوم
05:09 PM
ثلاثة شهداء بقصف الاحتلال مخيم النصيرات وجباليا
اليوم
04:46 PM
وزارة الزراعة بالشراكة مع صندوق التشغيل تعلن أسماء الفائزين بمنح SANET الزراعية بتمويل إيطالي
اليوم
04:45 PM
"التعليم العالي" ترعى اتفاقية بين القدس المفتوحة والشرطة بشأن تعليم نزلاء مراكز الإصلاح والتأهيل
اليوم
04:40 PM
خاص| إقبال واسع وخصومات كبيرة في اليوم الأخير من معرض العروس
اليوم
04:12 PM
ارتفاع حصيلة الشهداء في قطاع غزة إلى 71,800 والإصابات إلى 171,555
اليوم
03:47 PM
اليونيفيل تحذر من تداعيات إسقاط إسرائيل مواد كيميائية جنوبي لبنان
اليوم
03:12 PM
وزيرة شؤون المرأة تلتقي القنصل العام للسويد لتعزيز التعاون في قضايا النساء وتمكينهن
اليوم
03:05 PM
كاشف يختتم تدريباً متخصصاً في التحقق من المعلومات للصحفيات
اليوم
03:02 PM
وزارة الحكم المحلي وسلطة جودة البيئة تؤكدان أهمية الشراكة لحماية البيئة وتحسين الخدمات
اليوم
02:28 PM
اللجنة المركزية لحركة "فتح" تعقد اجتماعا في رام الله
اليوم
02:24 PM
الوزير عساف يشارك في أعمال المنتدى السعودي للإعلام 2026
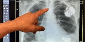
ضخة قلبية صغيرة "قد تغير حياة آلاف المرضى"
عاصفة شمسية قد تسبب "فوضى عارمة"
الاستعمال المتكرر للهاتف الذكي يحدث خللاً بوظائف اليد
صور: عارضة أزياء ترتدي "البرقع" في باريس للتخفي
كبار السن أكثر عُرضة لخطر نقص السوائل
شرطي روسي يعرض حياته للخطر لإنقاذ مئات الأطفال
وفاة الفنان السوري عادل شكري
بالفيديو: ثري سعودي يعطّل المرور في لندن لتنظيف سيارته البورش
إقبال كبير على حفل نانسي عجرم في جرش
طريقة تحضر شامبو منزلي طبيعي..لشعر مذهل
طرق وعلاجات منزلية رائعة تخلصك من جفاف وتشقق القدمين
أحمد السقا يستعد لفيلمه الجديد
Loading...
أظهر المزيد
بحث